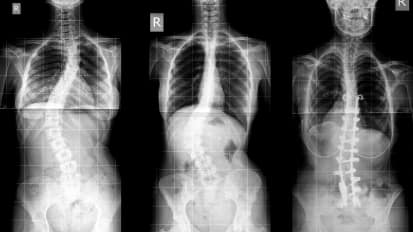
MUSC Children’s Health pediatric orthopaedic surgeon Robert F. Murphy, M.D., discusses treatment options for patients with scoliosis, from bracing to surgery, and when each is indicated. Murphy details the goals of corrective surgery for scoliosis.
MUSC Children’s Health pediatric orthopaedic surgeon Robert F. Murphy, M.D., discusses treatment options for patients with scoliosis, from bracing to surgery, and when each is indicated. Murphy details the goals of corrective surgery for scoliosis.